mg4355(中国·VIP认证)线路检测-官方网站

mg4355线路检测前沿
mg4355线路检测前沿

结构性心脏病

前沿探索者

NEW OPPORTUNITIES FOR INNOVATIVE INVESTMENT IN
STRUCTURAL HEART DISEASE
手术回顾
2025.07.29
精准夹合 “浑然天成”|西安交大一附院完成ValveClamp® TEER纯交界病例反流修复,手术再上新台阶

2025年7月,西安交通大学第一附属医院心血管外科闫炀教授TEER团队协同麻醉科、手术室、超声团队通力配合,一日内成功完成两例二尖瓣经导管修复术(TEER)。其中一例为典型的三区交界病变,采用国产二尖瓣夹系统ValveClamp® II型夹完成修复,用时短,夹完之后反流消失,夹子与交界融为一体,形成一个大单孔,术中表现优异,夹合效果堪称“浑然天成”。

 

病例简介

 

患者:

主诉:半年前爬楼时出现气短,此后反复发作。

术前诊断:二尖瓣前瓣腱索断裂,二尖瓣大量反流,三尖瓣少量反流,肺动脉高压,外周肺动脉栓塞,慢性心衰急性加重。

 

术前评估

 

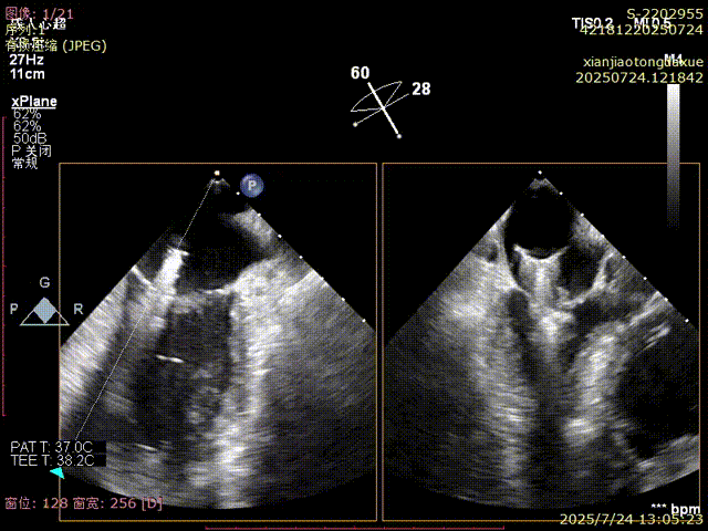
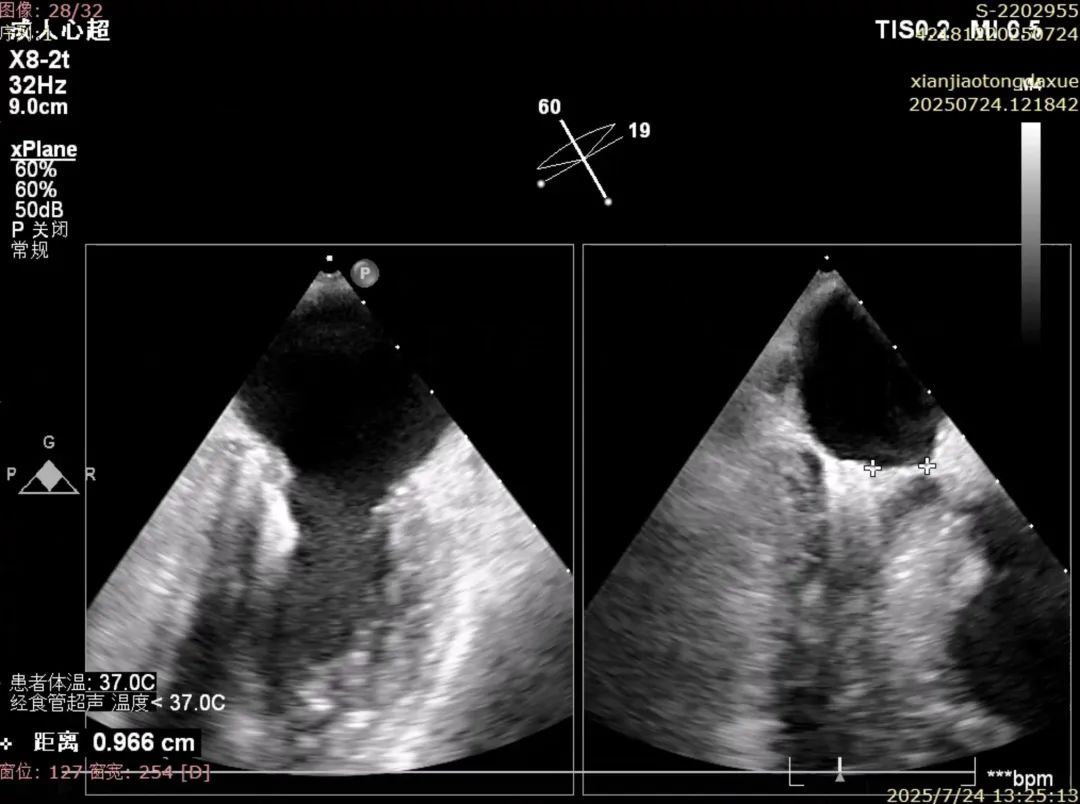
影像评估提示病变位于二尖瓣三区交界,瓣膜结构复杂,患者低氧血症,无法耐受体外循环,传统外科修复风险高,微创TEER治疗成为优选方案。手术团队采用ValveClamp® II型夹进行精准定位与夹合。通过麻醉快速通道迅速、高效完成手术,术中经经食道超声(TEE)实时引导,夹子精准落点于三区交界,瓣叶抓取稳定,夹合线条自然,反流显著改善,术后即刻拔除气管 ,插管,术后无并发症,心功能恢复良好。

 

麻醉后,纯氧指脉氧 91%

 

 

手术回顾

 

穿刺针进行穿刺

送跨瓣器进入左房

鞘管送入左房

左房打开上夹

捕获瓣叶并进行夹合

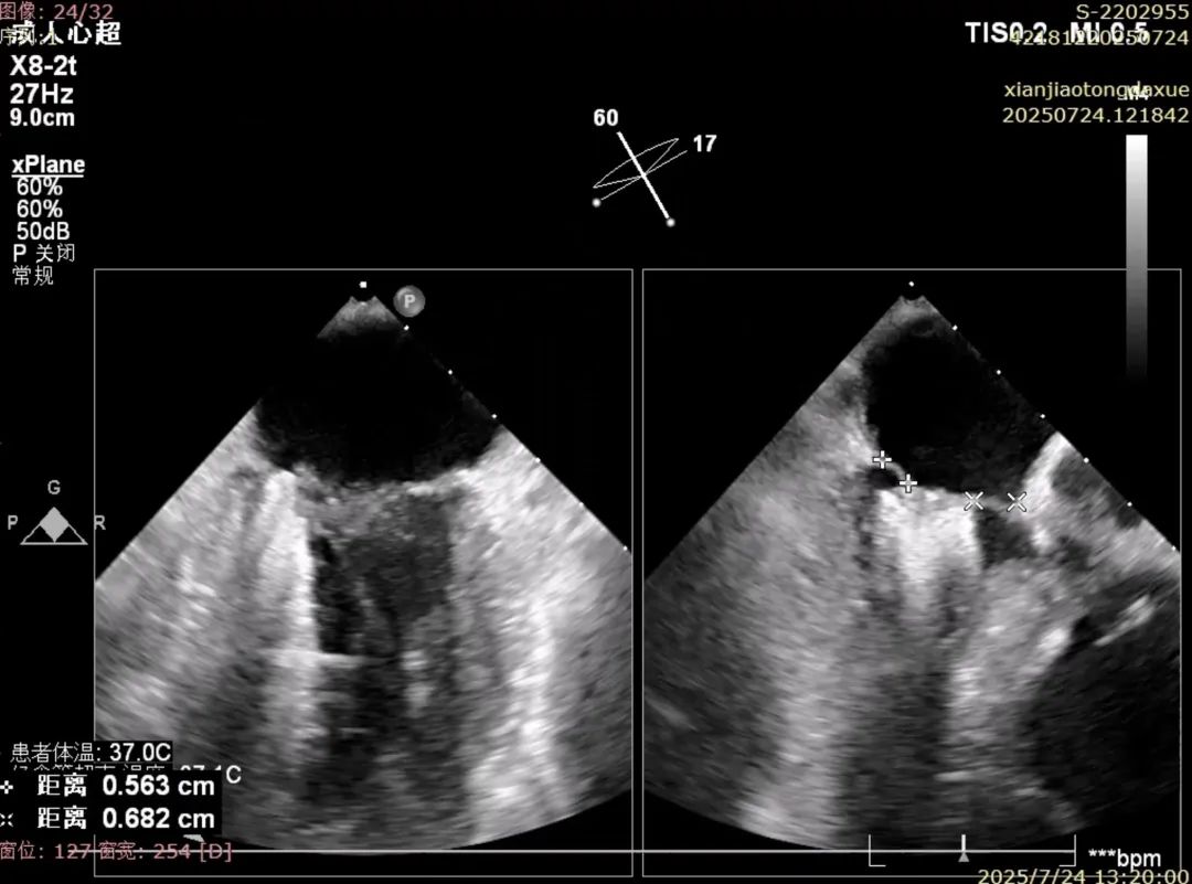
确认夹合位置及效果

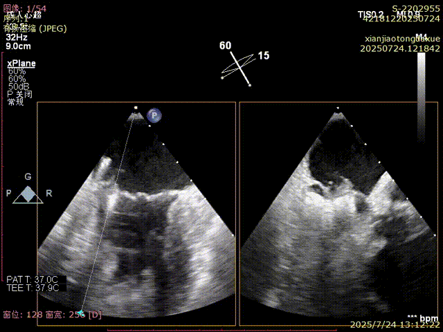
3D确认夹合位置

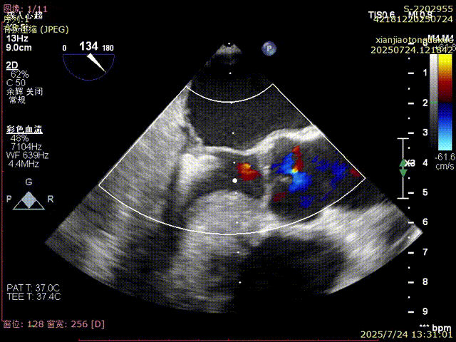
反流得到明显改善

 

 

3D视角下反流情况

术后夹合数据确认,达到预期效果

 

此次手术的成功,不仅体现了国产器械在复杂病变中的适配性和操作性能,更是对西交一附院团队在微创瓣膜介入治疗领域深耕多年的回馈与肯定。

 

西安交通大学第一附属医院将继续致力于瓣膜病治疗前沿技术的引进与创新,推动微创心脏治疗的规范化、系统化发展,为更多患者带去高质量的治疗与希望。

Baidu
sogou